Many of you know of my mobility issues of the past two years. It’s been difficult to get a doctor to listen to me. Specialists kept blaming my autoimmune disorders, or even long covid at one point. I finally convinced a doctor that I might possibly have MS so she ordered MRIs.
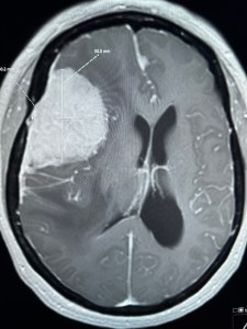
My MRI this past Monday revealed a 6cm brain tumor. They think it’s benign but won’t know until they go in. I need two surgeries. One to sever blood supply to the tumor and then weeks later its removal. For those interested, here is the scan.

I need to come off of one medication before they will operate so I am looking at mid-January, early February.
I’ll take all the prayers and good thoughts you have. Thank you.
Oh I’m so sorry to hear this. I’m wishing you all the very best for a good outcome xx
Praying Ti..
I’m thinking of you, sending all the good juju I have for your recovery. I am so sorry…I am glad you pushed for scans and have an answer. HUGS and much love.
Absolutely sending strength and positive thoughts!!!
I am so glad you have answers.
Many prayers for the best results
I am so sorry, Tina! I am glad you finally got someone to listen and have an answer and a path forward. Sending prayers!
Ti, I’m so sorry about this, but I am glad that you have some answers and a path forward. Please know that I will definitely keep you in my prayers. You and I both know that answers to prayers are real. God’s got a plan…big hugs to you.
You are absolutely right!
Oh, Ti. I am so sorry to hear this news, but I’m glad that you finally have an answer to your health issues. You really do have to be your own health advocate these days, don’t you? I’m sending positive thoughts your way and am glad your doctor feels that the tumor is benign. Keep us posted, when you can. Hugs to you!
Thanks so much!! Keep posting your adventure pics to distract me.
So sorry, but glad that you made the Drs. listen and they found out what the issue is. I will keep you in my prayers and have you added to the prayer list.
Ti,
<
div>I
Sending good energy your way! Girl you got this!!!!
Thanks so much!
Wow. It’s a good thing you have been persistent and found a doctor to listen to you. I’m sorry to hear your diagnosis but glad you have an answer and can go forward from here. Stay healthy and strong. You have many friends praying for you and available to help you through this. Don’t hesitate to call on us.
Thank you.
Oh, Ti! I’m so glad you finally have an answer and will keep you in my prayers as you move forward from here. Please keep us posted.
Thanks so much. I just feel really weird with this in my head but I knew something was wrong so I wasn’t at all surprised.
Oh Ti, I am both so glad you advocated for yourself and sad that this is what you are dealing with. I am sure it feels good at some level to know what’s going on, 2 years of wondering and being “ignored” is far too long.
A friend of mine (and his wife) both had brain tumors, both had surgery, and both are totally fine now. I wanted to give you some good outcomes to hold on to. I’ll be thinking about you, sending love and hugs, and hoping for a successful surgery!
Thank you. Needed to hear that.
Visit my blog: Book Chatter https://bookchatter.net/
So glad you persisted and finally got a diagnosis. Sending you hugs and will keep you in my thoughts and prayers!
Thank you!
Thank you for posting about this. My thoughts and prayers are with you. Keep holding on to what the doctor said.
My entire morning has been spent writing and documenting how abysmal my care has been. I mean, it took a week for my PCP to even mention the tumor and she was the one who ordered the scan.
That is absolutely horrible. What is the matter with these people. Will you get mad at her about the time. I would. I might also change doctors. I am just so sorry that with all you have to deal with, that this is part of it.
Thinking of you Ti. They’ll get this — and you’ll be all right. So glad it was finally detected and that you persevered to having a doctor figure it out. good grief. Stay positive. when will the first surgery be and where?